ホワイトスポットとは?

「鏡を見ると前歯の一部が白くなっている…」そんな歯の表面の白い斑点を「ホワイトスポット」と呼びます。痛みはありませんが、目立つ場所のため見た目に悩まれる方が多い症状です。これまでは「削るしかない」と諦められていた症状ですが、現在は歯を削らずに美しく治せる選択肢があります。

このような方におすすめです

  • 前歯の白い斑点が気になる
  • 歯の色ムラや見た目を整えたい
  • 削らずに自然な見た目へ改善したい
  • ホワイトニングだけでは改善しなかった

期待できる効果

歯の白い斑点や色ムラが目立ちにくくなり、自然で均一な見た目へと整います。前歯の印象が改善されることで、口元全体の清潔感や美しさの向上が期待できます。

当院のホワイトスポット治療

当院の
ホワイトスポット治療

鏡を見る女性

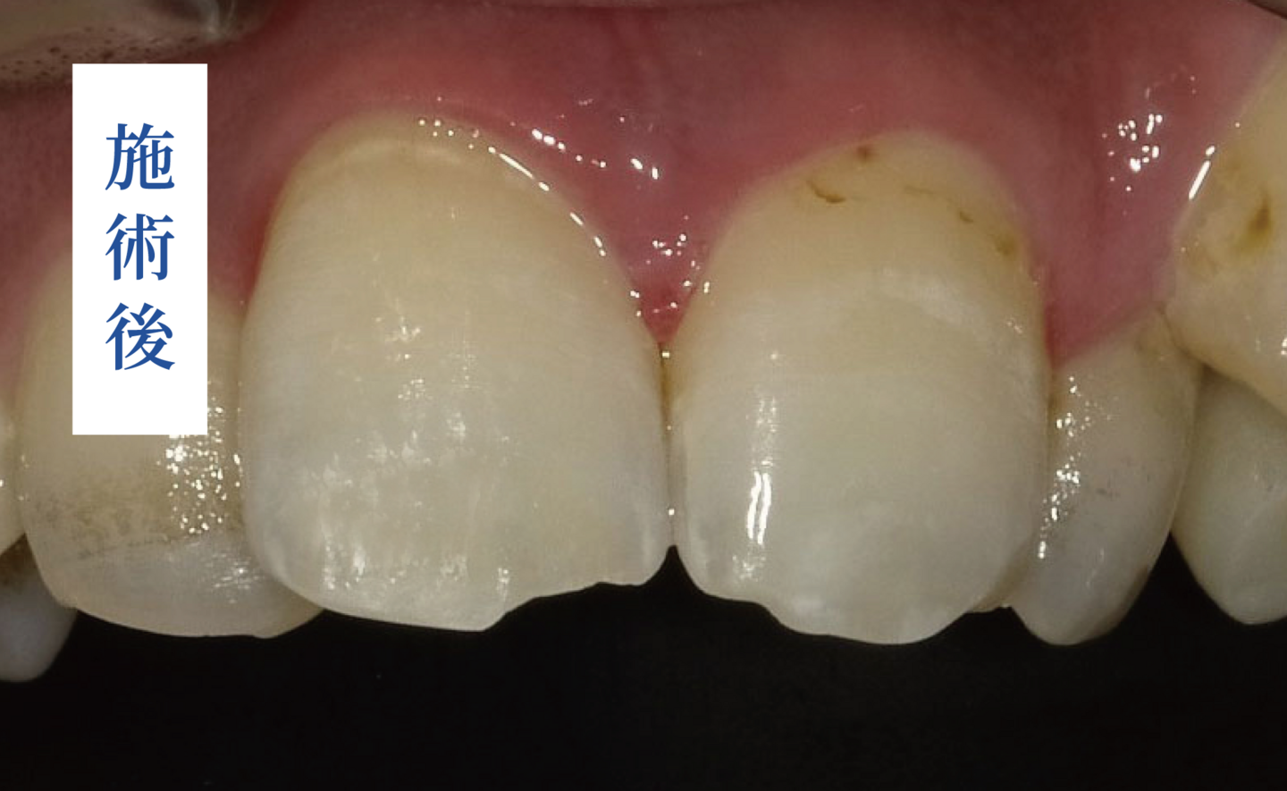
当院では、歯を削らずに自然な美しさを取り戻す「Icon(アイコン)」を導入しています。特殊な薬剤を歯の内部に染み込ませる最新の治療法で、「削らない・痛くない・短時間」でホワイトスポットを改善できるのが大きな特徴となります。1回の通院で完了するため、結婚式や大切なイベントを控えている方にもおすすめです。

ホワイトニングとの違い

ホワイトニングは「歯全体を漂白」するのに対し、ホワイトスポットは、「斑点を周囲と馴染ませ色ムラをリセット」する治療法になります。斑点を消しつつ歯全体も白くしたい方には、先にホワイトニングで全体をトーンアップし、その後にIconで仕上げる方法が最も美しく効率的です。

K.FUKUDA DENTAL CLINIC オフィスホワイトニングの様子

ホワイトスポット治療の流れ

  • ホワイトスポット治療の流れ

ホワイトスポット
治療の流れ

  • ホワイトスポット治療の流れ

まずはお気軽にご相談ください

ホワイトスポットは、見た目だけでなく笑顔の自信にも関わります。当院では、自然な透明感を目指しながら、「できるだけ削らず、歯を大切に残す治療」を心がけています。あなたの理想の笑顔に向けて、最適な方法を一緒に考えていきましょう。
治療費について LinkIcon

笑顔の女性

よくあるご質問

歯の表面に現れる、周囲より白く濁った斑点のことです。主な原因は、初期虫歯による脱灰(カルシウムが溶け出すこと)や、歯が作られる段階での「エナメル質形成不全」などが挙げられます。

はい、当院では「アイコン(Icon)」という低侵襲な治療法を採用しています。歯を削ることなく、特殊な樹脂(レジン)を内部に浸透させることで、白濁を改善し周囲の健康な歯の色に馴染ませることができます。

歯を削る必要がないため、麻酔も不要で、痛みを感じることはほとんどありません。リラックスして受診いただけます。

はい、基本的には1回の施術(約1時間程度)で完了します。型取りや複数回の通院が必要ないため、お忙しい方にも適した治療法です。歯の色を全体的に明るくしたい方はホワイトニングのページも併せてご覧ください。

アイコン(Icon)は主にエナメル質の表層にあるホワイトスポットに有効です。斑点が非常に深い場所にある場合や、着色が強い場合は、他の治療法(ダイレクトボンディングやセラミック)が適していることもあるため、まずは診断が必要です。

1歯につき 55,000円(税込)です。

浸透させた樹脂は歯の内部に定着するため、再びホワイトスポットが現れることは基本的にありません。ただし、周囲の天然歯が変色(着色)してくると色の差が目立つ可能性があるため、定期的なクリーニングをお勧めします。綺麗な状態を保つための定期検診・メンテナンスのページはこちらです。

Our Services

診療案内

K.FUKUDA DENTAL CLINIC

K.Fukuda Dental Clinic (医)福田歯科

ケイフクダ デンタルクリニック
K.FUKUDA DENTAL CLINIC 外観
〒059-0034 北海道登別市鷲別町3-22-2
室蘭本線「鷲別駅」より 1.5km
室蘭本線「東室蘭駅」より タクシー 約8分
交通アクセス LinkIcon
再診のご予約・お問い合わせ:0143-50-6565
診療カレンダー

※土曜の診療は9:00~12:00まで
【休診日】日曜・祝日

  • ホワイトニング・審美歯科 / 予防歯科 / 訪問歯科
    急患・新患随時受付しております
    各種保険取扱(マイナ保険証をお持ち下さい)
〒059-0034 北海道登別市鷲別町3-22-2
室蘭本線「鷲別駅」より 1.5km
室蘭本線「東室蘭駅」より タクシー 約8分
交通アクセス LinkIcon
再診のご予約・お問い合わせ:0143-50-6565
診療カレンダー

※土曜の診療は9:00~12:00まで
【休診日】日曜・祝日

  • ホワイトニング・審美歯科 / 予防歯科 / 訪問歯科
    急患・新患随時受付しております
    各種保険取扱(マイナ保険証をお持ち下さい)